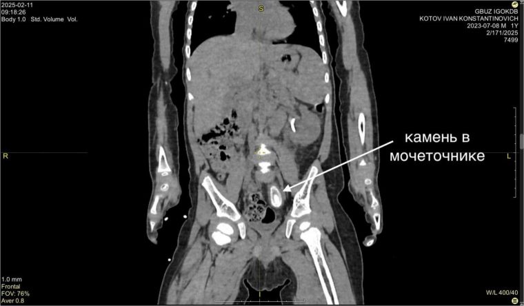
Камень в 3 см удалили из мочеточника маленького жителя Усть-Кута

Сложную операцию провел знаменитый на весь мир иркутский хирург, главный врач Иркутской областной детской клинической больницы Юрий Козлов.

post-22771 thumbnail
  • 12:05
  • 27.03.2025
  • ОбществоУсть-Кут
  • 0
  • 696

Первые признаки заболевания жительница Усть-Кута обнаружила у сына Вани еще в декабре прошлого года. На обследовании в Иркутске поставили диагноз — большой камень в нижней трети левого мочеточника размером около 3 на 1,5 см и вызванный им блок почки.

Размер камня удивил медиков — это нетипично для таких маленьких пациентов.

— Попытка внутрипросветного лечения была безуспешна — устье мочеточника не пропускало даже самую маленькую оптическую систему цистоскопа. После месяца непростого лечения с использованием нескольких антибиотиков была выполнена операция с применением нашего излюбленного подхода без разрезов — лапароскопии, — рассказывает Юрий Козлов.

Операция прошла успешно, и сегодня Ваня чувствует себя прекрасно.

Администрация УКМО

Данное сообщение (материал) создано и (или) распространено некоммерческими организациями и (или) средствами массовой информации, требующими полной отмены законодательства об иностранных агентах

Вы сможете добавить комментарий после авторизации

Присоединяйтесь! Мы в социальных сетях:

Вам также может быть интересно:

post-34960 thumbnail

#Топ новостьВойна с УкраинойСтранаУсть-Кут

Список погибших в Украине жителей Усть-Кута на 01 марта 2026 год

Продолжаем ежемесячную публикацию списков погибших в Украине жителей нашего района, а так же сведений о пропавших без вести. Будем обновлять эти данные раз в месяц. Жирным шрифтом и курсором будут выделять фамилии вновь добавлены Военнослужащие заключившие контракт с Министерством обороны России:
  1. Бакулин Сергей Александрович
  2. Олейников Павел Сергеевич
  3. Степанов Владимир Владимирович
  4. Файдуков Илья Александрович 2001 г.р.
  5. Тимкин Иван Валерьевич 1985 г.р.
  6. Дядькин Андрей Владимирович 1975 г.р.
  7. Железняк Олег Степанович 1973 г.р.
  8. Цыба Алексей Александрович 2001 г.р.
  9. Харитонов Анатолий Сергеевич 1979 г.р.
  10. Шестаков Александр Викторович 1991 г.р.
  11. Габелая Заза Зазавич 2001 г.р.
  12. Рыбаков Владислав Игоревич 2001  г.р.
  13. Мартюшов Владимир Николаевич 2000 г.р.
  14. Саклаков Петр Сергеевич 1990 г.р.
  15. Белянин Вячеслав Юрьевич 1975 г.р.
  16. Ветошкин Александр Геннадьевич 1982 г.р.
  17. Давыдов Сергей Викторович 1969 г.р.
  18. Новокрещеной Алексей Викторович 1995 г.р.
  19. Гончаров Виктор 1994 г.р.
  20. Кононенко Александр Николаевич
  21. Злобин Анатолий Алексеевич 1989 г.р.
  22. Салтыков Максим Игоревич 2002 г.р.
  23. Шевченко Андрей Александрович 1998 г.р..
  24. Купчин Алексей Юрьевич 1986 г.р.
  25. Власов Игорь Владимирович 1991 г.р.
  26. Суров Никита Александрович 1999 г.р.
  27. Тумаков Алексей Александрович 1979 г.р.
  28. Ермилов Александр Владимирович 1967 г.р.
  29. Силкин Артем Андреевич 1994 г.р.
  30. Ошурков Антон Васильевич 1994 г.р.
  31. Петухаев Геннадий Юрьевич 1975 г.р.
  32. Соболевский Степан Андреевич 1993 г.р.
  33. Паплюга Вячеслав Михайлович 1975 г.р.
  34. Мошкин Евгений Юрьевич 1977 г.р.
  35. Шага Анатолий Анатольевич 1981 г.р.
  36. Салахов Арсен Абдуламидович 1969 г.р.
  37. Сипко Александр Валерьевич 1985 г.р.
  38. Раков Вадим Михайлович 1993 г.р.
  39. Фридман Александр Артурович 2001 г.р.
  40. Перфильев Алексей Юрьевич 1980 г.р.
  41. Салюк Никита Геннадьевич 1991 г.р.
  42. Учеваткин Георгий Иннокентьевич 1987 г.р.
  43. Гилястин Рустам Викторович 1977 г.р.
  44. Егоров Василий Александрович 1993 г.р.
  45. Суханов Виталий Сергеевич 1988 г.р.
  46. Таюрский Иван Алексеевич 1978 г.р.
  47. Воротила Артем Николаевич 1982 г.р.
  48. Куклин Владимир Александрович 1987 г.р.
  49. Колесников Дмитрий Петрович 2000 г.р.
  50. Хрулев Александр Анатольевич 1973 г.р.
  51. Москвичев Александр Сергеевич 1993 г.р.
  52. Савичев Дмитрий Николаевич 1991 г.р.
  53. Шкребтиенко Даниил Михайлович 2002 г.р.
  54. Горячев Александр Александрович 1987 г.р.
  55. Караулов Кирилл Александрович 1994 г.р.
  56. Кузин Илья Михайлович 1992 г.р.
  57. Летягин Николай Владимирович 1974 г. р
  58. Ненаших Алексей Викторович 1983 г.р.
  59. Плаксин Владимир  Олегович1994 г.р.
  60. Загибов Ильдус Насихович 1984 г.р.
  61. Николаев Роман Николаевич 1999 г.р.
  62. Раздобреев Геннадий
  63. Куплено Виктор Александрович 1981 г.р.
  64. Саушин Виктор Юрьевич  1990 г.р.
  65. Таюрский Евгений Иннокентьевич 1988 г.р.
  66. Спиридонов Антон Сергеевич 1989 г.р.
  67. Порохоов Денис Евгеньевич 2000 г.р.
  68. Кочетков Алексей Леонидович 1980 г.р.
  69. Пуляевский Василий Валерьевич 1983 г.р.
  70. Марчел Скынтей Емануилович 1972 г.р.
  71. Зубов Юрий Юрьевич  1979 г.р.
  72. Колесниченко Андрей Вячеславович 1968 г.р.
  73.  Ходырев 1Игорь Валерьевич 1970 г.р.
  74. Власов Игорь 1991 г.р.
  75. Серов Андрей Владимирович 1988 г.р.
  76. Силкин Семен Андреевич 1994 г.р.
  77. Шатаев Станислав Русланович 1993 г.р.
  78. Ушаков Максим Олегович 2003 г.р.
  79. Хвостов Евгений Владимирович 1979 г.р.
  80. Гордиевский Максим Сергеевич 1987 г.р.
  81. Лапин Валерий Владимирович 1973 г.р.
  82. Морозов Юрий Васильевич 1997 г.р.
  83. Мордовкин Алексей Андреевич 1989 г. р.
  84. Темников Иван Александрович 2003 г. р.
  85. Головин Сергей Витальевич 1972 г.р.
  86. Кузнецов Евгений Михайлович 1973 г.р.
  87. Концедалов Сергей Юрьевич 1979 г.р.
  88. Блинов Юрий Львович 1972 г.р.
  89. Хорунжий Руслан Николаевич 1981 г.р.
  90. Могилин Юрий Иванович 1968 г.р.
  91. Заруднев Михаил Валерьевич
  92. Найфер Александр 1996 г.р.
  93. Однокурцев Павел Сергеевич 2001 г.р.
  94. Ненашев Алексадр Александрович 1981 г.р.
  95. Лотков Антон Юрьевич 1982 г.р.
  96. Барахтенко Владимир Сергеевич 1989 г.р.
  97. Сафронов Артем Дмитриевич 1998 г.р.
  98. Силкин Андрей Андреевич 2002 г.р.
  99. Матафонов Антон Павлович 1987 г.р.
  100. Зырянов Артем Александрович 2001 г.р.
  101. Сафонов Егор Андреевич 1999 г.р.
  102. Паплюга Павел Вячеславович 1999 г.р.
  103. Афанасьев Антон Юрьевич 1989 г.р.
  104. Аркуша Алексей Анатольевич 1983 г.р.
  105. Аржаев Николай Олегович 1996 г.р.
  106. Вишневский Сергей Владимирович 1976 г.р.
  107. Таюрский Богдан Сергеевич 1999 г.р.
  108. Хамуев Павел Егорович 1962 г. р.
  109. Кошкарёв Олег Ильич 1981 г. р.
  110. Гусейнов Федор Фиакович 1972 г.р.
  111. Сергеев Николай Александрович 1978 г.р.
  112. Маякин Максим Николаевич 1996 г.р.
  113. Винокуров Артем Николаевич 2003 г. р.
  114. Поломошнов Геннадий Александрович 1984 г.р.
  115. Григорьевских Вячеслав Михайлович 2002 г.р.
  116. Алексеев Константин Владимирович 1997 г.р.
  117. Суранов Антон Николаевич 1980 г.р.
  118. Прошутинский Алексей Владимирович 1997 г.р.
  119. Марков Сергей Андреевич 2005 г.р.
  120. Рожков Эдуард Григорьевич
  121. Афанасьев Иван Сергеевич 1995 г.р.
Мобилизованные из запаса военнослужащие:
  1. Кулаков Алексей Витальевич
  2. Могилевич Руслан Георгиевич
  3. Пакулько Виктор Васильевич
  4. Сажин Вячеслав Валерьевич 1990 г.р,
  5. Козельский Денис Геннадьевич 1981 г.р.
  6. Левицкий Григорий Вячеславович 1986 г.р.
  7. Фомин Алексей Романович 1994 г.р.
  8. Морозов Никита Александрович 1996 г.р.
  9. Баскумбаев Алексей Молдабекович 1978 г.р.
  10. Зырянов Алексей Раисович 1977 г.р.
  11. Шендрик Роман Валентинович 1979 г.р.
  12. Бриченко Андрей Александрович 1982 г.р.
  13. Хохлов Игорь Сергеевич 1999 г.р.
  14. Крамник Сергей Владимирович 1983 г.р.
  15. Иванов Алексей Николавевич 1986 г.р.
  16. Толстиков Вячеслав Леонидович 1994 г.р.
  17. Антипин Иван Андреевич 1983 г.р.
  18.  Шутов  Сергей Евгеньевич 2000 г.р.
  19. Барахтенко Олег Иванович 1978 г.р.
  20. Мелентьев Павел Викторович 1984 г.р.
  21. Белозерцев Никита Павлович 1989 г.р.
  22.  Корнейчук Валерий Александрович 1978 г.р.
  23. Антипин Алексей Александрович 1989 г.р.
  24. Лобынцев Сергей Владимирович 1980 г.р.
  25. Ефимов Владимир Александрович 1983 г.р.
  26. Шамкин Виталий Михайлович 1980 г.р.
  27. Зверев Роман Александрович 1977 г.р.
  28. Лютиков Евгений Сергеевич 1989 г.р.
  29. Бабин Евгений Борисович 1992 г.р.
  30. Антипин Алексей Геннадьевич 1982 г.р.
  31. Скуратов Константин Федорович 1974 г.р.
  32. Дроздов Валерий Юрьевич 1995 г.р.
  33. Быков Михаил Александрович 1980 г.р.
  34. Чугунов Антон Геннадьевич 1985 г.р.
  35. Мананков Олег Сергеевич 1978 г.р.
  36. Дубовик Сергей Владимирович 1975 г.р.
  37. Коркин Владимир Валерьевич 1983 г.р.
  38. Григорьев Валерий Валерьевич 1984 г.р.
  39. Крамаренко Сергей Юрьевич 1981 г.р.
  40. Бударин Александр Игоревич 1990 г.р.
  41. Красноштанов Роман Евгеньевич 1990 г.р.
  42. Лунегов Сергей Павлович
  43. Червиевский Денис Григорьевич 1987 г.р
  44. Смертеев Семен  Петрович 1990 г.р.
  45. Солодов Александр Анатольевич 1983 г.р.
  46. Гриднев Денис Сергеевич 1978 г.р.
  47. Таюрский Александр Викторович 1975 г.р.
  48. Семидельский Владимир Николаевич 1978 г.р.
  49. Слепцов Александр Сергеевич 1986 г.р.
  50. Вилков Андрей Иванович 1988 г.р.
  51. Дудник Сергей Александрович
  52. Кошкарев Максим Павлович 1978 г.р.
  53. Назаров Денис Александрович 1993г.р.
  54. Чупров Александр Сергеевич 1989 г.р.
  55. Липских Александр Георгиевич 1978 г.р.
  56. Тирский Денис Михайлович 1971 г.р.
  57. Осетров Дмитрий Максимович 1997 г.р.
  58. Понкратьев Александр Иванович 1978 г.р.
Наемники, заключившие контракт с ЧВК Вагнер:
  1. Барахоев Леонид Иннокентьевич
  2. Бушмакин Максим Сергеевич
Заключенные, завербованные ЧВК Вагнер из колоний ФСИН:
  1. Архипов Сергей Александрович
  2. Вейс Владимир Владимирович
  3. Ермилов Александр Сергеевич
  4. Курбанов Сенан Камран оглы
  5. Потапов Вадим Сергеевич
  6. Старцев Алексей Олегович
  7. Степанов Евгений Александрович 1986 г.р.
  8. Таюрский Алексей Геннадьевич
  9. Хартиков Дмитрий Владимирович 1981 г.р.
  10. Колесов Денис Андреевич 1998 г.р.
  11. Геннадий Гербольд 1978 г.р.
  12. Трусков Алексей Анатольевич
  13. Метрус Руслан Сергеевич 1984 г.р.
Заключенные, завербованные из колоний ФСИН в «Шторм-Z»:
  1. Сафронов Михаил Сергеевич 1985 г.р.
  2. Бурундуков Владимир Андреевич 2001 г.р.
  3. Кардаев Рахман Магомедович 1982 г.р.
  4. Горячкин Владимир Андреевич 1987 г.р.
  5. Тихонов Александр Павлович 1987 г.р.
  6. Хайсаров Олег Владимирович 1999 г.р.
Итого на сегодняшний день документально зафиксирована гибель 200 жителей Усть-Кутского района, во время боевых действий на территории Украины. К сожалению, это не полный список погибших и редакция располагает данными еще на 4 жителей нашего района, которые числятся пропавшими без вести. Плюс нет никаких данных  о многих заключенных из ФСИН, завербованных в Шторм-Z  и убывших в подразделения. Где они сейчас неизвестно, но есть большая вероятность, что они погибли и их тела находятся в распоряжении украинской стороны. Мы по своим каналам пытаемся выяснить судьбу всех пропавших без вести устькутян и делаем запросы в официальные органы Украины по каналам коммуникации с волонтерскими структурами и через Красный Крест в Польше. Вполне возможно, что некоторые из пропавших без вести живы и находятся в плену или госпиталях для военнопленных. Напомним, что из Усть-Кута было мобилизовано 238 военнослужащих запаса в сентябре 2022 года, из низ 43 человека ушли добровольцами. Еще 100 человек из Усть-Кута, заключили контракт с Минобороны, по состоянию на 01.01.2025 года Команда «УК24» PS. Если у вас есть информация о погибших устькутянах не указанных у нас в списке, можете написать нам на почту centr_for_ca@mail.ru  и проверив информацию мы пополним список PSS. Редакция «Усть-Кут24» не поддерживает войну с Украиной и считает ее не справедливой и откровенно колониальной. Должностные лица России развязавшие войну, должны предстать перед судом и понести наказание  
1335
0
01.03.2026 в 06:00
post-35520 thumbnail

#Топ новостькоррупцияКриминалУсть-Кут

Криминальный беспредел в Усть-Куте достал всех

Все увеселительные заведения города превратились в печально известное кафе-рыгаловку Бессоница Чем опасен беспредел в обществе? При этом нет разницы где он происходит, в политике или в криминальном мире. Везде, где находящиеся у руля люди вместо закона или понятий, делают ставку на беспредел, в обществе наступает период энтропии социума. Нет никаких общих договоренностей  и каждый субъект имеющий силовой ресурс, трактует и применят только ему выгодные правила. Это очень нагдлядно показал бардак и беспредел в криминальной сфере города, за последние два месяца. Буквально за очень короткий период времени в Усть-Куте, практически все увеселительные заведения города, стали по безопасности и комфорту, практически такими же, как кафе Бессоница. Даже в более-менее благополучном когда-то Ермаке, установилась откровенно рыговская обстановка. При чем на это не смогла повлиять ни охрана, нанятая в молодежных бандах, ни прикармливание криминальных авторитетов бесплатными ужинами. Правда эти два месяца примечательные совсем не тем, что отдыхающих горожан стали чаще бить отморозки в этих кафешках. Сами криминальные авторитеты, как минимум два раза были избиты как прачки в Бессоннице и Ермаке. Сначала Стаса Дубину ометелили около Бессоницы, а потом и Артема Хохла жестко перевернули в Ермаке. Даже представить не можем, что Дубина делал в жутко антисанитарной Бессоннице, вокруг которой снег вперемешку с рвотными массами и мочой, а еда по качеству как шаурма из котят на автовокзале в Улан-Уде . Тем не менее, криминальный статус не спас его от позорных побоев. У наркозависимого Хохла все оказалось гораздо хуже. Привыкший к полной безнаказанности, ввиду близкой коммуникации с полицейским начальством, беспредельщик каждую неделю как минимум пару раз кого-то жестко избивал со своей прикруткой. В январе Хохол вообще потерял берега и сначала был избит сам прямо в Ермаке, а потом обиделся и переборщил с ответными побоями. Сначала был жестоко избит до реанимации известный в городе предприниматель Геннадий Чемоданов, а потом Хохол расстрелял из переделанного травматического пистолета внука председателя совета ветеранов полиции, Анатолия Рыбкина. Плюс вместе с ним заколотили до тяжелого состояния молодого вахтовика. Только после того, как Анатолий Рыбкин поднял скандал на уровень области, Хохла закрыли. Конечно не точно, что следствие доведут до конца, но пока беспредельщик заехал в тюрьму. Мы еще отдельно осветим тему наркоторговли в городе. Сейчас в Усть-Куте просто зеленый свет для драгдилеров и закладчиков, а кроме этого по городу снова появились стационарные точки по торговле наркотой с рук за наличные. Хотя это и другая история, но она тесно связана с изменениями в криминальной сфере города. Будем внимательно мониторить ситуацию и следить за тем, кого из местных мафиозо изобьют в следующий раз. Ариэль Эмет Специально для «УК24» на фото : из открытых источников Хохол Канал в Телеграмм Наш Инстаграм Страничка в Одноклассник  
4392
0
27.02.2026 в 06:34
post-35475 thumbnail

#Топ новостьКриминалПолитикаУсть-Кут

Молчание козлят. Кейс педофила Тышкивского как новый фильм ужасов для мэрии Усть-Кута

За почти два месяца с начала педофильского гей-скандала,  связанного с заместителем мэра района, власти не удосужились выдавить из себя хот какой-нибудь пресс-релиз по ситуации. Хотя правоохранительные органы это сделали сразу же после ареста педофила Уже как-то даже неудобно выглядит молчание мэра Усть-Кутского района Сергея Анисимова, по поводу ареста его заместителя по обвинению в педофилии. При этом неплохо было бы услышать от чиновника причину, по которой он игнорировал почти шесть лет нахождение в своей команде, практически открытого гея. Вроде бы Сергей Анисимов публично призывал к соблюдению традиционных ценностей и скреп, а на деле пригрел у себя в ближнем круге не просто гомосексуалиста, но и злостного педофила. Да и вообще, должно же быть объяснение тому, что рекламируя туристическую якобы эко-деревню Турука, мэр не знал что там на ферме насилуют несовершеннолетних? Неужели вообще никто в районной администрации и ближнем круге мэра, не говорил ему о девиантном поведении председателя целого комитета администрации? На сегодня тема с арестом председателя комитета по экологии администрации района Михаила Тышкивского, в мэрии под запретом. Ее обсуждают кулуарно, но выносить на рублику любую информацию об этой ситуации, Сергей Анисимов запретил всем работникам аппарата, под страхом увольнения. Кроме этого хотелось бы знать,  осуждает ли мэр такое поведение своего зама и какие меры он хочет предпринять, чтобы такого не произошло в будущем? Может он официальный запрос ждет по этой теме? Так же будем надеяться, что в заключении чиновник Тышкивский, не будет корчить из себя Зою Космодемьянсую и расскажет следователям  инсайд, про мутные делишки устькутских чиновников, который у него несомненно есть. Мы очень на это надеемся. Ариэль Эмет Специально для «УК24» на фото : из открытых источников  Канал в Телеграмм Наш Инстаграм Страничка в Одноклассник  
3463
0
25.02.2026 в 06:31
post-35458 thumbnail

#НЕТНЕНАВИСТИ!#Топ новостьВойна с УкраинойОбществоПолитикаСтранаУсть-Кут

Сегодня ровно четыре года, как Путин берет Киев за три дня. Как война отразилась на Усть-Куте?

Страшная статистика для Усть-Кута от войны в Украине. Только цифры... Непонятно зачем развязанная война с Украиной, сегодня разменяла пятый год. Она идет уже дольше Великой Отечественной войны и результаты ее для страны очень непозитивные. Российский диктатор собирался захватить Украину марш-броском за несколько дней, увяз в бойне и теперь придумывает все новые причины, чтобы оправдать развязанную преступную войну. Единственный мотиватор для населения участвовать в этой войне, стыдливо называемой "СВО", это огромные деньги при подписании контракта с Минобороны и ежемесячные выплаты, которых в цивильной жизни и честным трудом, граждане заработать не в состоянии. Основными вербовщиками солдат стали ГУФСИН, отправляющий заключенных на войну из колоний и тюрем с ужасными условиями содержали, где даже смерть лучше, чем обычная жизнь в садистских застенках. Там забыли о правах человека и его достоинстве, а так же вообще о том, что это тоже человек и гражданин своей страны. Еще много контактов подписывают через МВД и Службу судебных приставов. Мелкие правонарушения и задолженность по алиментам и кредитам, один из главных мотиваторов ухода на войну. Что имеем в Усть-Кутн на пятый год войны?
  1. Подтверждена гибель более 200 жителей города и района
  2. Пропали без вести в зоне боевых действий почти 100 устькутян
  3. Ранения, в том числе и тяжелые, получили более 300 жителей нашего района
При этом в самом городе происходит замена уехавших на войну мужчин, приезжими из стран ближнего зарубежья и Северного Кавказа. Замена идет не только в экономике, где вакансии уехавших заполняют приезжие, но и в семьях. Об этом говорит засекреченная властями статистика ЗАГСа, где процент родившихся от смешанных браков с некоренным этносом, превысил все разумные рамки. Впрочем это видно и по детским поликлиникам и дошкольным учреждениям, где не славянских имен у детей уже скоро будет большинство. Какие бонусы получил Усть-Кут от войны в Украине? Вообще никакие. Нет ни одного сектора в экономике района, который благодаря войне, дал бы толчок в развитии. Наоборот, проблемы с градообразующими отраслями экономики, такими как лесозаготовка, транспортные перевозки и логистика, являются следствием санкций, введенных из-за войны. На выходе имеем высокую инфляцию и постоянный рост цен абсолютно на все, в том числе на ЖКХ и продуктовую корзину. В итоге, большое количество погибших работоспособного и репродуктивного возраста, и еще большее количество искалеченных физически и психологически. Кризис и застой в экономике и крах в соблюдении прав человека и уважения к личности со стороны карательного государства. Страна превратилась в тоталитарную диктатуру, где верхушка присвоила себе все национальные богатства и население превратило в полурабов без гражданских прав. И самое главное, зачем все это было нужно? Для чего? Ариэль Эмет Специально для «УК24» на фото : из открытых источников  Канал в Телеграмм Наш Инстаграм Страничка в Одноклассник  
1497
0
24.02.2026 в 17:44